La historia de Bethany Wright, una mujer británica de 26 años, dejó sorprendido a más de uno. Su pesadilla comenzó cuando se enfrentaba a la semana 34 de gestación y una serie de fuertes dolores aparecieron. Ahí empezó lo que sería un infierno.
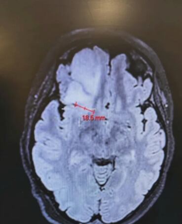
Tras varios días de presentar dolores anormales, que confundió con preeclampsia (es decir, la presión arterial alta y daño renal o hepático en mujeres embarazadas), decidió ir al médico. Allí le realizaron una tomografía computarizada, donde descubrieron que se enfrentaba a un diagnóstico fuera de cualquier pronóstico: cáncer.
La preeclampsia es una complicación del embarazo. La Clínica Mayo menciona que algunos de los síntomas más frecuentes de esta enfermedad son: exceso de proteínas en la orina, niveles bajos de plaquetas en la sangre, aumento de las enzimas hepáticas, dolores de cabeza intensos, cambios en la visión, falta de aire, dolor en la parte superior del abdomen, entre otros. Debido a esto, sus médicos pensaron que se enfrentaban a una complicación en la gestación.

Sin embargo, con el resultado de la tomografía computarizada descubrieron que la mujer de 26 años se enfrentaba a un tumor cerebral de 6 centímetros. Si bien fue tratada con quimioterapia, los médicos no son optimistas: le diagnosticaron pocos años de vida.
El diario The Sun consignó que Bethany “se siente robada de maternidad” y decidió empezar a hacerle una caja de recuerdos a su hijo Alfie.

La mujer, enfermera comunitaria en un centro médico de Glasgow, Escocia, dijo en los medios de comunicación británicos: “Cuando me dijeron que era de grado 3 no sabía cómo procesarlo, me preguntaba si tendría una vida útil más corta”.
El problema se intensificó porque los médicos no iniciaron los tratamientos contra el cáncer debido a la gestación. Por lo tanto, los especialistas le recomendaron terminar el embarazo y luego operar.

“Fue un momento tan extraño porque sentí que me habían quitado todos los momentos emocionantes del final del embarazo. Sentí que había una energía negativa alrededor del embarazo, nadie pudo concentrarse en el hecho de que estaba teniendo mi primer hijo”, relató la mujer a The Sun.
Tras el nacimiento de su bebé, la mujer se sometió a una cirugía, donde pudieron eliminar el 85% del tumor, pero en su lóbulo frontal derecho quedó alojado un 15% restante.

Luego de la cirugía, pudieron determinar que Bethany tenía un astrocitoma de grado 3, un tumor agresivo de rápido crecimiento en el sistema nervioso central.
“Me dijeron que podía tener de tres a 10 años de vida, era difícil entenderlo”, relató. “Tengo una caja de memoria donde puedo escribir cartas, hay una grabadora de voz allí también. He comenzado a poner cosas en ello, pero eso en sí mismo es algo difícil de hacer”, concluyó.
*Por Alejandra Hernández Torres
Con 26 años, pensó que los dolores que sentía eran propios de la gestación; sin embargo, luego de una tomografía descubrió la peor verdadCuidado del cuerpo y bellezaLA NACION
